/newsfirstprime/media/post_attachments/wp-content/uploads/2023/08/BeFunky-collage-2023-08-20T113326.028.jpg)
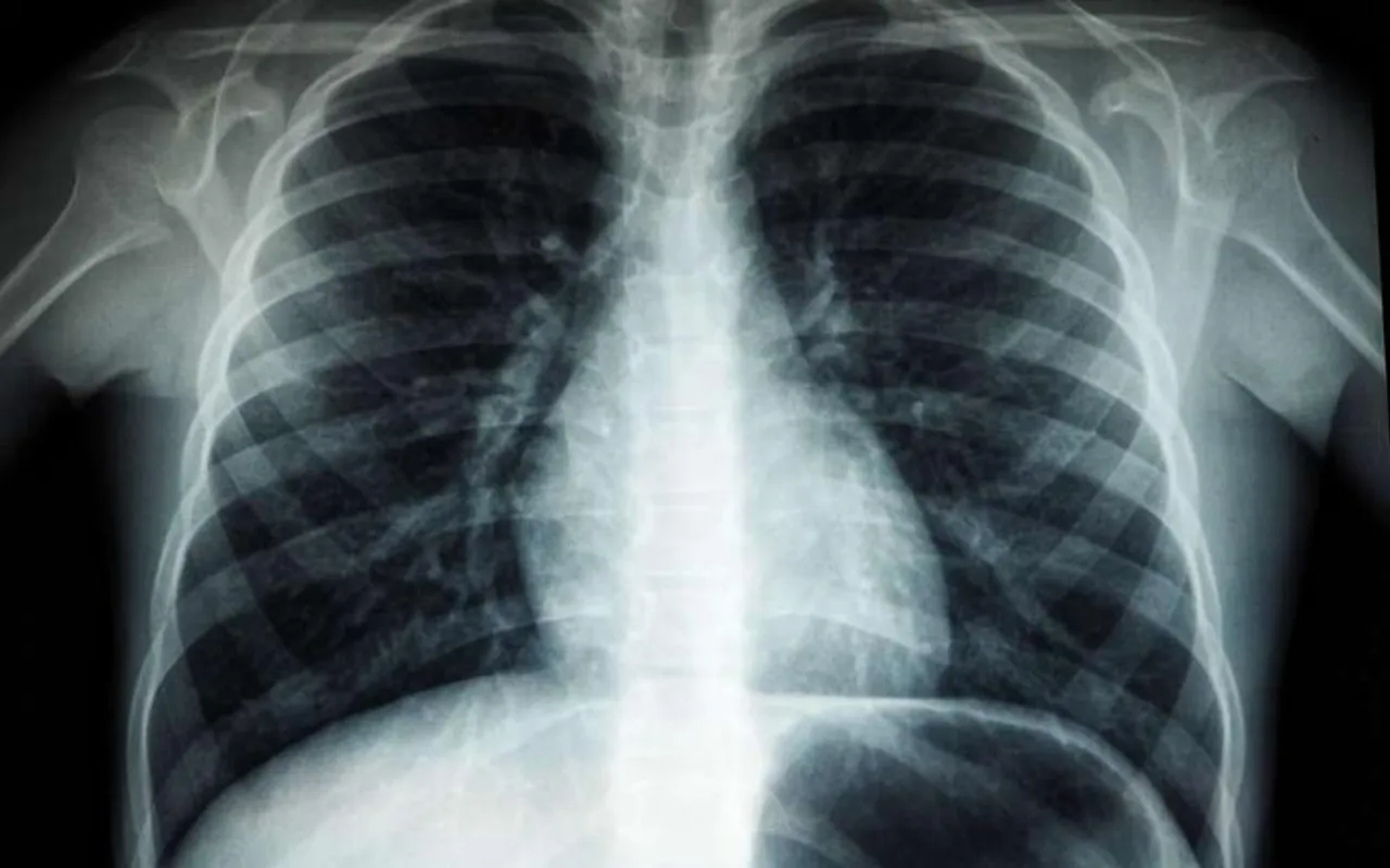
A study has been published in the Lancet Healthy Longevity Journal. It explores the emergence of a new technology which predicts a person’s age based on data made available through the person’s chest X-ray scans.
The principle of Deep Neural Networks is behind the estimation of age. Ageing causes changes in the radiological findings of the chest X-rays. The artificial intelligence is provided with just the data of frontal view chest X-rays.
2 substantially large data sets were fed to the artificial intelligence. One with healthy individuals who went through routine check ups between 2008 and 2021. Another subset contained data from individuals with a history of ailments from across 5 different health institutes across Japan.
In healthy individuals the X-ray estimated age would be very close to their actual age. If there is a difference in the 2 with age estimation obtained through chest X-rays being on the higher side it is also indicative of the fact that the individual might be susceptible to chronic illnesses such as hypertension and chronic obstructive pulmonary disease. Therefore, through this technology individuals who have greater risks could be identified at an early age and hence early intervention could prove to be decisive to prevent complications.
/newsfirstprime/media/agency_attachments/2025/07/28/2025-07-28t111554609z-2025-07-23t100810984z-newsfirst_prime_640-siddesh-kumar-h-p-1-2025-07-23-15-38-10-2025-07-28-16-45-54.webp)
Follow Us